
cazul_26
martie 4, 2026All-on-4 în Timișoara
Reabilitare completă cu implanturi Straumann BLX
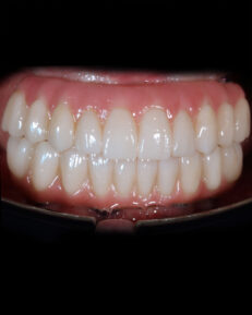
Acest caz prezintă o reabilitare completă a danturii în Timișoara, realizată în clinica Dr. Bold prin tehnica All-on-4 pe arcada superioară și inferioară, o soluție modernă pentru pacienții care au pierdut majoritatea sau toți dinții.
Tratamentul realizat: inserarea a câte 4 implanturi dentare pe fiecare arcadă, utilizând sistemul premium Straumann BLX, conceput pentru stabilitate primară ridicată și integrare rapidă. Implanturile au fost plasate conform conceptului Straumann ProArch, o tehnologie dedicată reabilitărilor totale pe implanturi, recunoscută pentru predictibilitate și rezultate pe termen lung.
Lucrarea finală: restaurare fixă full zirconiu, aleasă pentru rezistența superioară, estetică naturală și durabilitate. Zirconiul permite obținerea unui zâmbet armonios, cu funcție masticatorie corectă și stabilitate în timp.
Prin această procedură de All-on-4 realizată în Timișoara, dantura completă este refăcută cu un număr redus de implanturi, oferind o alternativă modernă și confortabilă la protezele mobile.
Cauți o soluție pentru refacerea completă a danturii?
Programează o consultație la clinica Dr. Bold din Timișoara pentru a afla dacă tratamentul All-on-4 sau All-on-X pe implanturi Straumann este potrivit pentru tine.






